Gengivas brancas no cachorro: A avaliação do estado das membranas mucosas do animal faz parte do protocolo de exame clínico padrão e permite ao veterinário avaliar o estado geral do paciente. Durante o exame, avalia-se não só a cor, mas também a taxa de enchimento capilar, bem como a hidratação das mucosas.
O veterinário examina as membranas mucosas da boca, bem como a conjuntiva (olhos mucosos), mucosas vulvar e prepúcio.
Vamos descobrir o significado das gengivas brancas.
Gengivas brancas no cachorro – Cor das gengivas saudáveis

A cor da gengiva em cães é um dos indicadores mais importantes da saúde de um animal de estimação. As gengivas atuam como uma barreira protetora no corpo do cão.
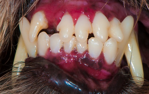
Quando eles estão bem, suas gengivas ficarão rosa ou rosa claro. No entanto, se o cão não estiver se sentindo bem, a descoloração pode ajudar a detectar e prevenir a ameaça.
Examine as gengivas do seu animal de estimação quando ele está acordado e em repouso. Tire uma boa foto com boa luz.
Verifique regularmente as gengivas e os dentes do seu cão. As gengivas saudáveis são úmidas e escorregadias ao toque. Quando é pressionada, ela fica rosa novamente em dois segundos. Isso é um sinal de boa circulação capilar.
Não apenas as gengivas e os tecidos da boca, mas também outras membranas podem informar sobre a condição do cão. Se você suspeitar que algo estava errado, avalie a aparência das membranas mucosas visíveis dos olhos, orelhas e órgãos genitais do animal.
O que a cor clara da gengiva em um cachorro diz?

A gengiva pálida em um cão não é uma doença, mas um possível sinal de doença. O diagnóstico pode ser feito por um veterinário com base em uma combinação de sintomas, testes, exames e histórico médico do paciente.
Gengivas pálidas podem ser um sintoma de muitas condições diferentes. Essa lista inclui:
- Insuficiência cardíaca;
- Aumento do estômago;
- Presença de corpo estranho nas vias aéreas.
Portanto, é importante entender qual é exatamente o motivo que influenciou no aparecimento das gengivas brancas.
Gengivas brancas no cachorro – Causas
As gengivas brancas podem indicar anemia, bem como:
- Perda de sangue;
- Hemorragia interna;
- Intoxicação;
- Infecção por parasitas internos;
- Oxigenação sanguínea insuficiente ou falta de hemoglobina.
A cor muito clara das gengivas em cães pode ser causada pelo pneumotórax, um acúmulo de ar na cavidade pleural que interfere no funcionamento normal dos pulmões e nas trocas gasosas durante a respiração.
Gengivas claras podem ser acompanhadas de letargia, apatia, falta de apetite, recusa em andar e brincar, tosse, falta de ar, mudança na temperatura corporal. Esses sintomas indicam que o cão precisa ser levado ao veterinário com urgência.
Qual é a cor das gengivas saudáveis em cães?

Como dissemos, se olharmos as gengivas do nosso cão, podemos ver que são rosadas, com exceção de raças como o Chow Chow, que são perfeitamente normais terem uma gengiva enegrecida. No entanto, existem condições patológicas que podem alterar a cor rosa. Nestes casos, as gengivas terão as seguintes tonalidades:
- Amarelado: Esta coloração, chamada icterícia, geralmente ocorre com problemas de fígado.
- Vermelho: Podemos encontrar esta cor na insolação e em geral nas fases iniciais de qualquer insolação. No caso de envenenamento por monóxido de carbono, as gengivas também ficam vermelhas.
- Cinza: Este tom ocorre em situações de colapso severo.
- Linha pontilhada: Pequenos pontos vermelhos são pequenas hemorragias que podem ocorrer com insuficiência hepática.
- Azulado: Ocorre quando há falta de oxigênio e é chamado de cianose.
Agora que você sabe como são as gengivas de cães doentes, é importante observar que elas também nos fornecem informações sobre a circulação sanguínea.
Se as pressionarmos com os dedos, em questão de segundos elas devem voltar à cor original. Este é o tempo de enchimento dos capilares. Se esse tempo for de dois segundos, o cão tem problemas circulatórios. Três segundos ou mais indicam choque.
Estomatite causa problemas nas gengivas
A estomatite é uma das doenças que mais acometem a cavidade oral do cão. Em geral, a estomatite é uma infecção bacteriana crônica que envolve a inflamação dos tecidos moles internos da boca.
A estomatite pode afetar um animal de diferentes maneiras. A forma mais grave é, sem dúvida, a estomatite ulcerosa canina, que causa danos nas gengivas, sangramento e dor aguda.
Saber reconhecê-la e intervir corretamente para conter o problema é fundamental. Muitas vezes nossos amados cachorros não reclamam e você tem que perceber se algo está errado, a fim de agir o mais rápido possível.
A estomatite infecciosa em cães, na verdade, também pode resultar em comportamento anormal, dificuldade de ingestão dos alimentos, resultando em perda excessiva de peso e um estado de desnutrição que pode degenerar problemas ainda mais graves.
Se você ama seu cachorro, não pode negligenciar sua saúde.
Gengivas brancas no cachorro – Causas e sintomas para reconhecer
As causas da estomatite podem ser as mais variadas. Entre as causas mais frequentes foram identificadas:
- Reações alérgicas a alguns medicamentos;
- Doenças autoimunes;
- Contato com irritantes;
- Ingestão de substâncias estranhas;
- Infecções fúngicas ou bacterianas.
- As infecções causadas por fungos ou bactérias estão frequentemente entre as principais causas de inflamação da cavidade oral.
O tártaro que adere aos dentes, se permanecer por muito tempo, cria uma condição favorável para a proliferação descontrolada de bactérias, levando a um desequilíbrio da flora bacteriana natural presente na cavidade oral.
O tecido de granulação que se forma nos tecidos moles da boca (gengivas, bochechas e língua) na presença dessa condição favorece maior acúmulo de bactérias na cavidade oral.
Fungos como a candida também podem ser responsáveis pela inflamação das membranas mucosas do seu cão.
Outras doenças bucais, como a doença periodontal, podem ser semelhantes à estomatite. É por isso que é essencial aprender a reconhecê-lo.
Estomatite em cães, quais são os sintomas?
Gengivas brancas no cachorro: É difícil perceber quando nosso cachorro está com dor. Na verdade, os animais muitas vezes mascaram muito bem o sofrimento que sentem.
Mas se você suspeita que seu cão está sofrendo de estomatite, existem alguns sinais e manifestações características que podem indicar um diagnóstico preliminar da doença. Por exemplo:
- Falta de apetite e recusa de comida;
- Dificuldade em mastigar e engolir;
- Perda de peso
- Mudanças no comportamento habitual;
- Pelagem áspera ao toque;
- Sangrando pela boca
- Vermelhidão dos tecidos moles
- Inchaço e lesões nas gengivas
- Resistência e recusa em escovar os dentes;
- Salivação excessiva.
Caso você tenha percebido que há algo errado com a boca do seu cão, não hesite em entrar em contato com o veterinário de confiança.
O diagnóstico dessa patologia, na verdade, só pode ser feito por meio de um exame odontológico minucioso e de exames diagnósticos específicos, como exames de sangue, cultura bacteriana e radiografia oral.
Tendo verificado a presença de estomatite no seu cão, o veterinário poderá aconselhá-lo sobre o tratamento médico adequado para resolver o problema de uma vez por todas.
A terapia medicamentosa também pode ser associada a remédios e produtos naturais a serem aplicados diretamente na boca para aliviar a inflamação e proteger a saúde bucal do cão.